- HOME
- セラミック修復・ホワイトニング・ガムピーリング
美しさに妥協しないあなたへ
パールのように輝く歯。珊瑚のようになめらかな歯茎。
見た人をハッとさせるような美しい口元は、歯科医院で手に入れることができます。
ニッコリと笑えなかった過去、口元を隠せる“マスク時代”にホッとしているいまに、決別を!
鏡を見るたびに自信が満ち溢れてくるような口元は、あなたの行動や言葉さえも変えるでしょう。
名古屋市港区の歯医者「オリーブ歯科こども歯科クリニック」では、天然の歯に近い自然な美しさを手に入れられる「セラミック修復」、あなたの歯本来の美しさをよみがえらせる「ホワイトニング」、そして黒ずみが気になる歯茎を健康的なピンク色に変える「ガムピーリング」で、自分がもっと好きになるきっかけをご提供します。
EAUTY
白く輝く歯と、素敵な笑顔を取り戻す「セラミック修復」
審美歯科(セラミック修復)では、歯の白さや、お口まわりの審美性を重視した治療を行います。
たとえばむし歯を削った部分を補修する場合、審美歯科では、天然歯と遜色ないほど美しく、自然な色調を再現できるセラミック素材などを使用します。歯の治療だけでなく、歯の見た目にもしっかりこだわりたい方は、オリーブ歯科こども歯科クリニックまでご相談ください。
「やってよかった」と思っていただける
のセラミック治療
セラミック治療は高額になりがちなもの。少しでもおトクに治療したいと、いくつかの歯科医院を比較しておられる方も少なくないかもしれません。しかし、ちょっと待ってください。同じセラミックでも、材質や生産者によって品質がまったく異なることをご存知ですか? 生産国によっては、材料費を抑えるために質の悪い材料を使用している場合もあります。もし、そんなセラミック治療を受けてしまったら……。決して安くはない治療費にも心は痛みますが、なにより粗悪な補綴物(被せ物)を身体に使用している状態というのは、なんとも不安なものではないでしょうか。
オリーブ歯科こども歯科クリニックでは、皆さまに安心してご使用いただける、高い品質の技工物しか採用しません。材料は日本製、製作も経験豊かで信頼のおける技工士に依頼しています。もちろん、削る段階からルーペや特別な機材を駆使し、型取りに用いる材料にもこだわっています。せっかくのセラミック治療で、どなたにも後悔してほしくありません。ワンランク上のセラミック治療をご検討なら、ぜひ一度当院へご相談ください。
熟練の技工士による、最高品質の技工物
〜連携技工所のご紹介〜
初めまして、歯科技工士の内と申します。専門学校を卒業してから、セラミックの歯を作る仕事に携わって15年目になります。
私は、「この患者さんがどういった経緯でセラミック治療をされることになったのか」「どういった歯を希望されているのか」を常々考えながら歯を作っています。歯の見た目や噛み合わせについて、患者さんの悩みや不安をしっかり伺い、ご満足いただけるような歯を作ります。どうぞよろしくお願いいたします。
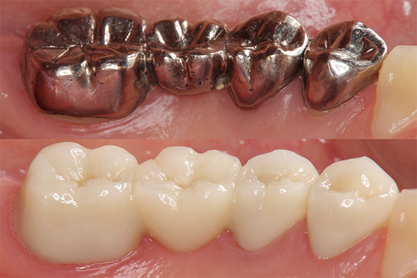
それでもあなたは、「銀歯」を選びますか?

一般的なむし歯治療では、歯を削った後に金属製の詰め物や被せ物を装着します。いわゆる「銀歯」「金歯」と呼ばれるものです。こうした金属製の補修物は劣化に強く丈夫ですが、「目立ちやすい」「金属アレルギーの心配がある」などいくつかのデメリットもあります。また、銀歯を何年も使い続けると経年劣化により隙間が生じ、そこからむし歯菌などの細菌が侵入してしまうことも。さらに、金属が溶け出すことにより、金属アレルギーを引き起こすリスクもあります。
「オリーブ歯科こども歯科クリニック」では、まるで天然歯のような自然な見た目を再現できるセラミックを使用しております。メタルフリーの素材なので、金属アレルギーの方も安心してご使用いただけます。これから行う治療だけでなく、「昔治療したときの銀歯が気になる」
という方もぜひ当院までご相談ください。
あらゆるケースに対応する審美治療
-
セラミックインレー

セラミックを用いた詰め物です。金属アレルギーの方も安心してご使用いただけます。
-
オールセラミッククラウン
(奥歯用)
従来のジルコニアクラウンと比べ、強度・耐久性が向上したものです。純度100%のメタルフリー素材なので、金属アレルギーの心配もありません。
-
オールセラミッククラウン
(前歯用)
天然歯のような自然な色調を誇り、透明感のある美しい歯を再現できます。また、摩耗に強く、経年劣化ですり減ることもありません。
-
セラミックベニア

歯の表面を少しだけ削り、ポーセレン(陶材)の薄い歯を貼り付けて修復します。削る量が最小限で済み、自然な見た目を実現できます。
HITENING
白く輝く歯を手に入れる「ホワイトニング」

専用薬剤を用いて歯の着色汚れを漂白する「ホワイトニング」は、近年女性を中心に人気の施術方法です。
当院では、歯科医院で行う「オフィスホワイトニング」と、ご自宅で行う「ホームホワイトニング」、そしてそれら2つを組み合わせた「デュアルホワイトニング」に対応しております。期間や費用、求める白さなど、患者さんのご要望に合わせた最適な方法をご提案いたします。
使用感にも、仕上がりにも妥協しない。
ホワイトニング
初めてホワイトニングにチャレンジする方は、「ホワイトニング剤ってしみるのでは?」「濃度の高い薬剤と聞くと、ちょっと怖い……」など少しの不安を覚える方もいらっしゃるのではないでしょうか。これまでほかの医院でホワイトニングを受けてこられた方には、イヤなピリピリ感に悩まされたという方もいらっしゃるかもしれません。
オリーブ歯科こども歯科クリニックでは、高濃度ながらも刺激や術後の違和感が少ない薬剤を採用しております。また、ホワイトニングの効果を最大限引き出せるよう、術前には歯科衛生士によるクリーニングを実施。使用感にも仕上がりにも妥協のない、満足のホワイトニングを体験していただけます。当院は、結果だけでなく、患者さんのお気持ちに寄り添った治療が大切だと考える歯科医院です。ぜひ、痛みなく健康的な白い歯を手に入れてください。
歯科医院で行うプロの技術「オフィスホワイトニング」
オフィスホワイトニングとは、歯科医院で行うプロ仕様のホワイトニングです。濃度の高い薬剤を使用するため、効果をすぐに実感できます。結婚式や成人式など、イベントを控えている方におすすめです。
装着式で、ズレない照射「ブリリカ ビアンコ」
|
|
オフィスホワイトニングでは、歯に薬剤を塗布した後、光を照射することで着色汚れを漂白します。しかし、従来の照射器はキャスター付きのデスクライトのような形状をしており、患者さんが動くと位置がずれてしまう、光が目に入りやすいなどいくつかの問題点がありました。 そこで当院では、患者さまのご負担を軽減するため「ブリリカ ビアンコ」という特殊な照射器を採用いたしました。この照射器は患者さんのお口に直接装着するタイプで、施術中に動いても照射位置がずれません。光が目に入る心配もなく、重さもわずか100gと非常に軽量です。 |
|---|
オフィスホワイトニングの流れ
-
Step1 カウンセリング

オフィスホワイトニングの基本的な流れをご説明します。仕上がりに関するご要望などございましたら、遠慮なくお申し付けください。
-
Step2 検査・クリーニング

むし歯やプラークがある場合は、まずそちらの治療・処置を優先します。プラークが溜まっている場合も同様です。
-
Step3 処置

歯と歯茎の間に歯肉保護剤を塗った後、ホワイトニング剤を歯の表面に塗布します。
-
Step4 光の照射

光を10分ごとに1~2回のペースで照射を繰り返し、歯の漂白を促します。
-
Step5 終了

理想的な白さになったら、施術終了です。
毎日のケアタイムにプラス!「ホームホワイトニング」
ホームホワイトニングでは、まず歯科医院にて専用のマウストレーを作製します。その後、マウストレーに薬剤を注入した状態で一定時間装着していただき、時間をかけて少しずつ歯を白くしていきます。スマホを見ながら、雑誌を読みながら……。いつでも好きなタイミングで気軽に行っていただけるホワイトニング方法です。低濃度の薬剤を使用するため効果を実感するまでにはやや時間がかかりますが、その分色戻りが起きにくいというメリットもあります。
刺激は低く、効果は高く。ホワイトニング薬剤「Tion」
|
|
オリーブ歯科こども歯科クリニックでは、高いホワイトニング効果を持ちながら、低刺激性で歯に優しいホワイトニング薬剤「Tion」を使用しています。 通常、ホワイトニング剤の効果は「過酸化水素」という成分の濃度の高さに比例します。しかし過酸化水素は刺激が強く、あまりに濃度が高いと痛みや不快感、知覚過敏の原因にもなりかねません。こうした問題を解消し、ホワイトニング効果と低刺激性の両立に成功したのが、当院が使用する「Tion」です。 「Tion」には「可視光応答型光触媒V-CAT(TiO2-xNx)」という技術が使われており、歯を優しくいたわりながら、輝く白さを目指すことができます。 |
|---|
ホームホワイトニングの流れ
-
Step1 カウンセリング

ホームホワイトニングの内容や、ご自宅での流れについて詳しくご説明します。この際、患者さんのご要望をうかがい、最適なプランをご提案いたします。
-
Step2 検査・クリーニング

患者さんのお口の状態を確認し、むし歯や歯周病の有無を検査します。病気や歯石が見つかった場合は、まずそちらの治療・処置を優先します。
-
Step3 マウストレー作製

患者さんの歯型を採取し、一人ひとりに専用のマウストレーを作製します。このとき、マウストレーの使用方法についても詳しくご説明します。
-
Step4 処置開始

ご自宅にて、お好きなタイミングで施術を行っていただきます。白さを実感するまでには、およそ1~2週間程度かかります。
-
Step5 終了

理想的な白さになるまで、施術を継続します。白く輝く歯をキープできるよう、毎日のお手入れも欠かさず行いましょう。
Pickupより早く、より長持ちの白さを手に入れる
「デュアルホワイトニング」

当院では、オフィスホワイトニングとホームホワイトニングを組み合わせた「デュアルホワイトニング」をおすすめしております。それぞれの施術を単体で行うよりも短期間で白さを実感でき、効果が長持ちしやすいなどさまざまなメリットがあります。
ホワイトニングQ&A
- Q
ホワイトニングで使用する薬剤はどんなものですか?
- A
過酸化水素や過酸化尿素を弱酸性に調整したもので、消毒で利用するオキシドールに含まれている成分と同じものです。論文も発表されており、安全性も保証されています。
- Q
ホワイトニングでは、どれくらいの白さを目指せますか?
- A
変色の原因や程度、歯の質などにより、個人差があります。患者さんのいまの歯の色から徐々に白くしていくため、人と同じ回数で同じ白さになるわけではありません。どれくらい白くできるか、どのくらい白くしたいかを確認しながら進めていきます。
- Q
どんな歯でも白くできますか?
- A
ホワイトニングには適応症があるため、まずは患者さんの歯がホワイトニングに適しているかどうかカウンセリングする必要があります。どのくらい白くできるかにも個人差があるため、まずはお診せください。
- Q
ホワイトニングは痛みを伴いますか?
- A
ホワイトニングでは歯を削ったり麻酔をしたりすることはないため、歯科治療のような痛みはありません。ただし、ホワイトニングの薬剤によって歯が脱水症状を起こし、一時的に痛みを感じることがあります。しばらくするとおさまりますので、ご安心ください。
- Q
妊娠中でもホワイトニングはできますか?
- A
妊婦さんや赤ちゃんに対する安全性が確認されたというエビデンスがないため、妊娠中の方へのホワイトニングは行いません。
- Q
ホワイトニングを行えば、ずっと白い歯でいられるのですか?
- A
もともと歯の黄ばみは、食事やタバコなどの生活習慣による着色や、年月と共に色調が濃くなるという自然現象などが原因です。そのため、定期的なメンテナンスをしなければ、施術前の色に戻っていきます。追加ホワイトニングは、オフィスホワイトニングなら1~2年に一度、ホームホワイトニングなら半年〜1年に一度のスパンで行う必要があります。
UMPEELING
歯茎を健康的なピンク色に「ガムピーリング」

歯の健康にはこだわっているのに、なぜか歯茎の色が黒ずんでいるとお悩みの方は少なくありません。自分ではどうすることもできない歯茎のお悩みは、「ガムピーリング」で解決できます。
透明感のあるピンク色の歯茎は
「ガムピーリング」で手に入れる

ガムピーリングとは、色素沈着などにより変色してしまった歯茎に専用の「ピーリング薬」を塗り、綺麗なピンク色にする治療です。どんなに綺麗な歯や歯並びでも、黒ずんだ歯茎では、自信を持って笑うことは難しいのではないでしょうか。黒っぽい、または紫や茶色に近い歯茎は、不健康なイメージを与えることにつながります。お口の印象を変えたいなら、歯のホワイトニングや歯列矯正と同じくらい、「歯茎の色」に注目すべきと言えるでしょう。
歯茎が黒ずんでしまう原因は?

歯茎や歯肉が黒ずんでしまう主な原因は、メラニン色素の沈着によるものです。
メラニン色素の沈着は、
- 歯ブラシによる強い刺激
- タバコ
- 口呼吸
- 紫外線
- 刺激の強い食べ物
によって引き起こされます。
こうした日常的な刺激から歯茎を守るため、歯肉の下にあるメラノサイトという組織が活性化し、メラニン色素を形成します。生まれつき、遺伝としてメラニン色素が発生しやすい方もいるため、普段どんなに気をつけていても、歯茎の色素沈着が避けられないケースもあるでしょう。
実は日本の成人の約2人に1人が、メラニン色素の沈着によって歯茎が黒ずんでいると言われます。なるべく刺激を与えないように気をつけて生活していても、なかなか自然と歯茎の色が明るくなることはありません。ガムピーリングを活用して、効率的に、ピンク色の健康的で美しい歯茎を手に入れてください。
ガムピーリングQ&A
- Q
子供の歯茎の一部が黒いのですが……
- A
乳歯から永久歯に生え変わる時期によく見られます。新しい歯が正常に生えてくれば自然と直ってきますので、心配いりません。
- Q
ピンクの歯茎になるまでの期間はどのくらいですか?
- A
ガムピーリングを受けてから、最短1週間〜2週間でピンク色の歯茎になります。1回目のガムピーリングで綺麗な色になる方もいらっしゃいますが、黒ずみが強い方は複数回施術することで効果が高まります。
- Q
ガムピーリング後に気をつけることはありますが?
- A
刺激の強い食事やタバコはなるべく控えましょう。しっかりと効果が出なくなるおそれがあります。食事自体は問題ありません。
- Q
効果はどのくらい続きますか?
- A
生活習慣を見直すことで、キレイな歯茎は長持ちします。たとえば、タバコを嗜む方は禁煙することをおすすめします。歯茎をいたわって生活すれば、約2年は美しい歯茎を保つことができるでしょう。
- Q
ガムピーリングに健康保険は適用できますか?
- A
審美目的であるガムピーリングは、歯のホワイトニングなどと同様「自由診療」となるため、健康保険は適用されません。
- Q
ガムピーリングの施術時間はどれくらいですか?
- A
1回の施術にかかる時間は、約30分~45分です。
ご予約・お問い合わせは、以下の電話番号にて承っております。



